Diagnosztikai módszerek: a CT-vizsgálat
aktualizálta: Dr. Laki András, radiológus frissítve:
A CT (komputertomográfia) röntgensugárzáson alapuló módszer, melynek során az emberi szervezet vizsgált tájékáról a test hossztengelyére merőleges képszeletek készülnek. Milyen esetekben alkalmazzák és hogyan történik a vizsgálat?
A vizsgálat lényege, hogy a berendezésben egy, a test körül gyorsan forgó röntgencsőből kilépő sugárzás elnyelődésének mértékét a körben lévő detektorok megmérik, az adatokat egy beépített számítógép összegzi, és egy keresztmetszeti képet hoz létre. Ezt a műveletet egymás utáni magasságokban megismételve az eredmény a test adott területét megmutató keresztmetszetek sora lesz. A modern sokszeletes (multidetektoros) CT-berendezések a cső egyszeri körülfordulása alatt nagyobb térfogatban végeznek egyszerre mérést, így a vizsgálat igen rövid idő alatt elkészülhet és pontos ábrázolást adó vékony képszeletek készíthetők.
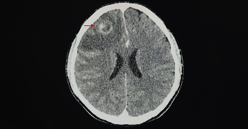
| Koponya CT-felvételei |
![]() |
| Koponya CT-vizsgálatának képei. A felvételek középső részén az agykamrák szimmetrikus sötét alakzatként látszanak. A koponyacsontok fehér színűek. |
Számos kóros folyamat (pl. vérzés, daganat, gyulladásos folyamatok stb.) következtében megváltozik az adott terület sugárelnyelő képessége, és ez a CT-vel pontosan lokalizálható, míg a hagyományos röntgentechnikával az összevetülések miatt korlátozott a képalkotás. A vizsgálat során gyakran szükség van kontrasztanyag alkalmazására is, melyet a kar egy vénáján keresztül juttatnak be az érrendszerbe. A kontrasztanyagos vizsgálatokról a Kontrasztanyagos CT-vizsgálat című cikkünkben olvashat bővebben.
Mire használják a CT-t?
A CT az MR elterjedése előtt a gerinc és az agykoponya vizsgálatában elengedhetetlen volt, ugyanis segítségével a központi idegrendszer közvetlenül vizsgálható. Tumorok, érrendellenességek – aneurizma, azaz kóros értágulatok −, infarktusok (agyállomány-elhalás, -lágyulás), gyulladások, vérzések, az agyödéma sok esetben jól ábrázolódnak. Az MR pontossága, haszna azonban meghaladja a CT-jét, de sürgősségi esetekben, pl. akut agyi események (stroke), vérzés gyanúja vagy koponyatrauma esetén ma is a CT az elsődleges. A koponya CT-felvétele jól használható úgynevezett sztereotaxiás (koordináták alapján vezérelt) sebészeti beavatkozások pontos, háromdimenziós megtervezéséhez.
A mellkas CT-vizsgálatára akkor kerül sor, ha a röntgenfelvételen valamilyen elváltozás volt látható, vagy akkor is, ha gyanús tünetek mellett a mellkas röntgenfelvétele negatív. Ezzel a vizsgálattal ugyanis jobban ábrázolódik a tüdő szerkezete és a mellkasi lágyrészek (nyirokcsomók) állapota is jobban megítélhető. A tüdőembólia diagnosztizálására vékonyszeletes kontrasztanyagos CT-vizsgálat (pulmonalis CT-angiográfia) alkalmas.
Hasi és kismedencei CT-vizsgálatra akkor van szükség, ha a hasi ultrahang és a laboreredmények alapján vagy más okból azt a kezelőorvos indokoltnak találja. CT-vel gyakorlatilag minden hasi szerv vizsgálható (a máj, a lép, a vesék, a mellékvesék, a hasnyálmirigy és megnagyobbodott nyirokcsomók). A hasi CT a gyomor-bélrendszer egyes betegségeinek vizsgálatára is alkalmas, ehhez bizonyos esetekben speciális vizsgálati körülmények szükségesek. Így a vastagbél célzott vizsgálatát levegőfeltöltés után végzik, ez a virtuális kolonoszkópia. A kismedencében húgyhólyag és a belső nemi szervek, valamint környezetük vizsgálatára kerül sor, de ennek pontossága sokszor nem éri el az MR-ét.
A CT-vel végzett érfestéses vizsgálat (CT-angiográfia) kiválóan alkalmazható az aorta (főverőér) és más artériák vizsgálatára, értágulat vagy -szűkületek, -elzáródások, továbbá – elsősorban mellkasi és hasi – vénák trombózisának gyanúja esetén.
A végtagokon elsősorban az ízületek környékén lévő bonyolultabb törések pontos feltérképezésében nyújt segítséget. Súlyos baleseteket szenvedettek (polytraumatizáltak) teljes test CT-vizsgálata számos sérülés gyors, egyidejű felderítését teszi lehetővé.
Hogyan kell felkészülni a CT-vizsgálatra?
A vizsgálat előtt a beteg pontos tájékoztatást kap arról, milyen előkészületek szükségesek, például intravénás kontrasztanyagos vizsgálatok előtt 3-4 órával nem szabad enni, víz azonban fogyasztható. Hasi CT-vizsgálatok előtt gyakran adnak szájon át kontrasztanyagos folyadékot.
Hogyan zajlik a CT-vizsgálat?
Maga a vizsgálat a röntgenfelvételhez hasonlóan teljesen fájdalommentes. A vizsgálat időtartama alatt a betegnek mozdulatlanul kell feküdnie, ami általában nem tart tovább néhány, illetve 10-15 percnél. A páciens egy keskeny, műanyag ágyhoz hasonló vizsgálóasztalra fekszik, mely folyamatosan mozgatja a beteget a röntgencsövet tartó vaskos gyűrű alakú részegységben, miközben a berendezés számítógép által vezérelve az egyes harántsíkokban felvételeket készít a testről.
A CT-vizsgálat hátránya, ellenjavallatai
A CT hátránya, hogy sugárterheléssel jár, ezért terhesség alatt nem, vagy csak kivételesen, igen indokolt esetben végezhető. Gyermekek és fiatalok esetén is fokozottan kell gondolni a sugárterhelésre, így helyette más vizsgálatokat célszerű végezni, ha lehetséges. A sugárterhelés csökkentése érdekében már többféle vizsgálat is célirányos, alacsony dózisú technikával végezhető. Kontrasztanyag adása esetén fennáll a kontrasztanyag-túlérzékenység (allergia), illetve egyéb mellékhatások veszélye.
Kisgyemekek vizsgálata leginkább altatásban történhet.
A vizsgálat a berendezések és a kontrasztanyagok magas ára miatt költséges.
Ez is érdekelheti CT kolonoszkópia: mekkora a sugárterhelés? - Az orvos válaszol
Forrás: WEBBeteg
Orvos szerzőnk: Dr. Soltész Annamária, általános orvos, Dr. Reinhardt István
Aktualizálta: Dr. Laki András, radiológus
