Mik lehetnek a fogkő következményei?
aktualizálta: Dr. Horváth Viktória, fogszakorvos frissítve:
Mi is az a fogkő? Hogyan képződik? Mik lehetnek a fogkő következményei? Hogyan távolítható el? Mit tehetünk a kialakulásának megelőzése érdekében?
Hazánkban a rossz szájhigiénia, a nem megfelelő szájápolási szokások és a fogorvosi kezelést rendszeresen igénybevevők alacsony száma miatt, a fogszuvasodás és a fogágybetegségek súlyos közegészségügyi problémát jelentenek. Az életkor előrehaladtával rohamosan nő az eltávolított fogak száma, sőt, szinte nincs is olyan egyén, akinek 25 éves kora fölött ne lenne valamilyen fogászati betegsége.
Kutatások, vizsgálatok bebizonyították, hogy a fogak felszínén létrejövő lepedék és a fogkő tehetőek a leginkább felelőssé a fogíny gyulladása és sorvadása, a fogágybetegségek kialakulása és súlyosbodása szempontjából.
Mi is az a fogkő? Hol és hogyan jön létre?
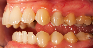
A fogkő gyakorlatilag minden felnőtt szájában megtalálható. Étkezés során a fogak, a fogpótlások és a protézisek felszínén kialakul egy vékony, színtelen, szabad szemmel alig látható plakkréteg.
Ez nagyrészt feloldódott ételmaradékból áll, és kitűnő táptalaj a baktériumok számára. A plakk, idővel a nyálban jelen levő ásványi anyagok – kalcium, foszfát – hatására egyre keményebbé válik, majd elmeszesedik. Ezt az így létrejött meszes plakkot nevezzük fogkőnek.
A fogkő az íny alatt és az íny fölött is kialakulhat, elsősorban azokon a fogfelszíneken, melyek a nyálmirigyek kivezető nyílásához közel helyezkednek el. Így elsősorban a felső-oldalsó fogak – a kis- és nagyőrlők – külső, valamint az alsó-elülső frontfogak – metszők és szemfogak – belső, nyelv felőli felszínén.
A nyál minősége, savas ételek, pl. kóla fogyasztása, és a dohányzás nagyban elősegíti a fogkő kialakulását.
Tudta? |
| A fogkő kezdetben világos, sárgás színű és viszonylag puha, majd idővel barnássá válik és keménysége is fokozódik. A fogkő hajlamos a növekedésre és – a lepedékkel ellentétben – már nem távolítható el fogmosás során, egyszerű fogkefével. Kialakulásában fontos szerepe van a hajlamnak, az örökletes tényezőknek, az étkezési szokásoknak és a dohányzásnak is. Van, akinél az eltávolítás után rövid idővel újraképződik, és van, akinél csak hosszú idő után jön létre. |
A fogkő kialakulásának következményei
Szájüregi következmények
A fogkő nemcsak esztétikailag zavaró, hanem súlyos fogágybetegségek elindítója is lehet. Az íny begyulladását okozza, mely így elveszti egészséges, rózsaszínű színét, vörössé válik, megduzzad, és étkezés során, fogmosáskor, később spontán is vérezni kezd. Az ínygyulladást rendszerint kellemetlen szájszag is kíséri.
Ha a fogkő nem kerül időben eltávolításra, és folyamatosan fenntartja a fogíny gyulladását, akkor az íny idővel visszahúzódik, elvékonyodik, elsorvad.
Önmagában a steril fogkő nem okoz gyulladást, ám a felszíne egyenetlen, dorozmás, amely semmilyen módon nem tisztítható. A gyulladás, amit sokszor fenntart, fájdalommentes, a páciensek sokszor csak a vérző fogínyt észlelik fogmosás közben, mikor a kiköpött fogkrém rózsaszínűvé változik.
A hosszú távú gyulladás a foggyökerek mentén fokozatosan ráterjed az állcsontra és állkapocscsontra, és a fogak meglazulnak, mozogni kezdenek. Súlyos esetben el is veszíthetjük őket.
A fogágybetegség és a fogak elvesztése ez esetben nem egy-egy fogat érint, hanem generalizáltan a szájüreget. A fokozatosan pusztuló fogágy következtében az összes fog elvesztése után az implantáció is kétséges, mert nem marad elég csontkínálat hozzá.
Amennyiben már meglévő fogászati implantátummal rendelkezünk, annak felszínén is tud fogkő képződni, így egy ilyen pótlás esetén is javasolt évente a fogorvosi kontrollvizsgálat és a fogkő-eltávolítás.
A fogkő nem csak a szájüregben okozhat problémákat, más betegségek kialakulásához is vezethet
A fogkő fogászatilag gócnak minősül (hajhullást, ízületi fájdalmat, szívbetegségeket, akár demenciát stb. tud okozni). Ezért a szervezet más pontján jelentkező gyakori és elhúzódó gyulladások esetén mindenképpen ajánlott a fogorvost is felkeresni.
Bővebben A szájüregi gyulladások következményei

Megelőzés
A napi 3-4 alkalommal – főleg lefekvés előtt és az étkezéseket követően – végzett alapos, megfelelően hosszú ideig (legalább 2 percig) tartó fogmosással, valamint speciális fogkrém (pirofoszfáttartalmú) használatával a fogkőképződés megelőzhető vagy legalábbis mérsékelhető.
Javasolt szónikus technológiával működő elektromos fogkefét beszereznie azoknak, akiknél nagyon hamar termelődik vissza a fogkő.
Fogkő-eltávolítás
Ha mégis kialakult a fogkő, fontos, hogy azt minél hamarabb, rendszeresen szedessük le! A fogkő mennyiségétől függően évente egyszer vagy akár kétszer, fogágybetegek esetében pedig 3-havonta javasolt a fogkő-eltávoltás. Az elpusztult fogágyat vissszahozni már nem lehet, viszont a megmaradt állomány megőrizhető. Ha az íny és a csont is tönkremegy, azon már nem lehet segíteni.
A fogkő eltávolítása szakember, azaz fogorvos (vagy dentálhigiénikus) feladata, aki egy ultrahanggal működő úgynevezett depurátort használ erre a célra. A kezelés általában fájdalommentes, esetleg egy kis bizsergést lehet érezni a fogak mentén. Ha megis fájdalom lép fel, helyi érzéstelenítést lehet alkalmazni. Az íny alatti fogkövet fogágybetegség kezelésekor úgynevezett mélytisztítással lehet eltávolítani. A fogkő-eltávolítás után a fogak felszínének polírozása történik, hogy az így létrehozott simább fogfelszínen a fogkő nehezebben tudjon kialakulni.
Amit ne tegyünk!
Olvasható nem hivatalos portálokon házi praktika a fogkő otthoni kezelésére. De nem javaslom, hogy bárki is nekiessen a fogainak citromsavval, szódabikarbónával vagy más, az említett oldalakon olvasható anyagokkal, ezek ugyanis szét fogják marni a zománcot és tönkre fogják tenni a fogakat.
Megjegyzés
Háziállataink, leginkább kutyáink fogain szintén képződik fogkő, elsősorban a nem megfelelő, tehát házi koszton elő ebek esetén. Lehetőség van állatorvosi rendelőkben ennek az eltávolítására. De mivel ez a művelet sok esetben megterhelő a kutyák számára, esetleg bódítást is igényelhet, jobb itt is a megelőzés, ami az állat fajának és korának megfelelő étrendet és lehetőség szerint rendszeres fogmosást jelent, speciálisan a számukra készült fogkrémmel. Kutyáink és más háziállataink fogát soha ne mossuk embereknek készült fogkrémmel, abban ugyanis gyakran vannak olyan anyagok (pl. xilit, más néven nyírfacukor, xilitol, xylitol vagy xukor), amelyek halálos mérget jelentenek rájuk nézve, miközben az emberekre teljesen ártalmatlanok.
Forrás: WEBBeteg
Orvos szerzőnk: Dr. Soltész Annamária, általános orvos
Aktualizálta: Dr. Horváth Viktória, fogszakorvos