Kontrasztanyagos koponya-CT-vizsgálat
megjelent:
A koponya CT-vizsgálata történhet kontrasztanyag nélkül, azaz natívan, vagy a natív sorozat után (ritkán anélkül) intravénás kontrasztanyag adásával is.
Az alkalmazott kontrasztanyagok mindegyike jódtartalmú, bennük a jód nem szabad, hanem molekulához kötött formában van. A ma használatos kontrasztanyagok az úgynevezett nem-ionos típusba tartoznak, melyek kevesebb mellékhatással járnak, mint a régebbi, ionos fajták. Számos gyártó állít elő kontrasztanyagokat, melyek molekuláris szerkezetük szerint kis mértékben, de eltérnek egymástól.
A koponyán belül megkülönböztetjük az agykoponyát és az arckoponyát – előbbi a koponyaalaptól kezdődően a fejtetőig tart, az arckoponya pedig az állkapocscsúcs és a koponyaalap közötti terület, ebbe beletartozik a szájüreg, az orr, az orrmelléküregek és szemüregek vizsgálata is.
Az agykoponya vizsgálatának típusai
A kontrasztanyag nélküli (natív) koponya-CT-vizsgálatot elsősorban sürgősségi esetekben, súlyos koponyasérülés után, heveny agyi vérellátási zavarok (TIA = átmeneti vérellátási zavar, vagy a hosszabb időtartammal járó stroke), továbbá a koponyán belüli spontán vérzés gyanújakor végzik, illetve ezen állapotok követésében alkalmazzák. A traumatológiában nincs szükség kontrasztanyag adására. Amennyiben a CT friss agyállományi vérzést mutat ki, a vizsgálat általában szintén befejezhető. A többi esetben további fontos információkhoz jutás érdekében intravénás kontrasztanyag beadására kerülhet sor.
A csonttörések, csontszerkezeti elváltozások, meszesedések kimutatásán kívül gyakorlatilag minden más, koponyán belüli elváltozás megállapítására – akár magában az agyszövetben, akár az agyburkok területén helyezkedik el –, vagy azok egymástól való elkülönítésére az MR-vizsgálat pontosabb, mint a CT.
Számos esetben azonban mégis kontrasztanyagos koponya-CT-vizsgálat készül, vagy azért, mert gyorsabban elérhető, vagy a már elkészült natív sorozatot egészítik ki vele, illetve minden esetben, amikor az MR-vizsgálat valamiért ellenjavallt (az MR ellenjavallatairól ide kattintva olvashat bővebben).
Lássuk tehát, hogy milyen típusai vannak a vizsgálatnak, mikor alkalmazzák:
1. Kontrasztanyagos koponyavizsgálat (általános, áttekintő vizsgálat)
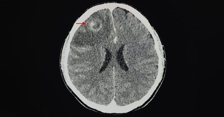
A natív sorozat után, a kontrasztanyag befecskendezését követően az elsőhöz hasonló kontrasztanyagos sorozat készül. Akkor alkalmazzák, ha a natív sorozaton az agyállományban daganat vagy gyulladásos elváltozás, pl. agytályog gyanúja merül fel, illetve ilyen elváltozások kimutatása vagy kizárása a cél. Mivel a kontrasztanyagnak át kell jutni az úgynevezett vér-agy gáton, a sorozat a beadás után 3-5 perces késleltetéssel készül. A daganatok számos típusa, valamint a tályogok fala a kontrasztanyagot felveszi (halmozza), ezáltal jobban elkülönül a környezettől, mint a natív felvételen (lásd alább az 1. képet).

1. kép: A kép bal oldalán a nyíl a homloklebeny daganatára mutat, mely főleg a szélében halmozza a kontrasztanyagot (megjegyezzük, hogy egy tályog is hasonlóan nézhet ki). Az elváltozás körüli sötétebb terület helyi duzzadást, ödémát jelez, ami agyi térfoglaló folyamatok esetén gyakori.
2. Agyi érfestéses (CT-angiográfiás) vizsgálat
a) Ha a natív sorozat a pókhálóhártya alatti vérzésre utaló képet mutat, akkor nagy a valószínűsége, hogy egy agyalapi artériás bogyószerű tágulat (aneurysma) repedt meg. Ilyenkor a koponyaalapi folyadékterekben (bazális ciszternákban) jelenik meg a vér. Az aneurysmát a kontrasztanyag beadása közbeni gyors CT-sorozattal lehet igazolni. Az ilyen vérzést subarachnoideális vérzésnek nevezzük és sürgős katéteres intervenciós ellátásra, esetleg idegsebészeti műtétre van szükség. A sorozatból háromdimenziós hatású kiegészítő felvételeket készítenek, melyek az aneurysma térbeli elhelyezkedését mutatják meg.
b) Az agy vérkeringésében fellépő heveny vagy krónikus vérellátási zavarok gyanúja esetén a nyaki fő artériákra (carotisokra) és a koponyán belüli artériákra is kiterjedő CT-angiográfiát lehet végezni. A vizsgálattal a carotisok szűkületét okozó meszes és lágy plakkokat lehet kimutatni, és a szűkület mértékét is jó pontossággal meg lehet határozni. Ehhez már olyan számítógépes eljárásokat fejlesztettek ki, melyek már szinte automatikusan követik az ér lefutását. A megfelelő magasságokat kijelölve, a program az ér keresztmetszetének csökkenését százalékos arányban is kifejezi, ami segít az érsebésznek a műtéti tervezéshez. (lásd alább a 2. képet.)

2. kép: Nyaki és koponya-CT-angiográfia. A 3 dimenziós rekonstrukció a csontok, lágyrészek számítógépes leválasztása után csak az artériákat ábrázolja.
c) CT-perfúziós vizsgálat: Akut agyi vérellátási zavar (stroke) gyanúja esetén speciális eljárás a CT-perfúzió, ami egy adott agyi területen a vérátáramlás ütemének, mértékének a képi megjelenítése. Ehhez a kontrasztanyag gyors beadása szükséges, mialatt a berendezés az agyról (vagy annak egy részéről) gyors ismétlődéssel több sorozatot készít. Ezekből egy speciális szoftver segítségével meghatározható egy adott területen a vér átáramlásának a gyorsasága, vagyis kóros esetben a többi agyszövethez képest a véráramlás időbeni elmaradása. A sorozatfelvételekből színkódolt megjelenítéssel készülnek az agy vérellátásának a térképei, melyekből megismerhetőek a keringésből kimaradó területek, de az is fontos, hogy el lehet különíteni a már valószínűleg véglegesen elhalt és a még menthető agyi területeket is egymástól, ami a kezelés megtervezésében lényeges. (lásd alább a 3. képet)

3. kép: CT-perfúzió: A felvételsorozat alapján a szoftver a kontrasztanyag-halmozás sebességét, ezáltal a vérellátás minőségét, a vér megoszlását különbözó szempontok szerinti színezett térképeken jeleníti meg. Így szemléletesen ábrázolható, hogy egy érelzáródás pontosan mekkora területet érint, és milyen mértékű a károsodás.
d) Vénás CT-angiográfia
Amennyiben a klinikai adatok, tünetek alapján a kemény agyhártyával összefüggésben lévő vénás űrök (sinusok) trombózisának gyanúja merül fel, a kontrasztanyag beadását ezek telődésének üteméhez időzítik. Már a natív sorozat is gyanút kelthet a trombózisra, de biztosabb diagnózist a kontrasztanyagos felvételek biztosítanak. A sinus trombózis életveszélyes állapot, gyors beavatkozást (véralvadásgátló kezelést) igényel.
e) A sella (hipofízis) kontrasztanyagos CT-vizsgálata
A sella (magyarul töröknyereg) a koponyaalap egy bemélyedése, ahol az agyalapi mirigy – a hipofízis – foglal helyet. Az agyalapi mirigy alapvető képalkotó vizsgálata az MR, de azokban az esetekben, amikor az MR nem végezhető el, CT-vizsgálat is készíthető. A jó minőségű CT bizonyos szintig pótolhatja az MR-t, de annak pontosságát nem éri el. A speciális vizsgálat célzott, vékony szeletes képalkotást és – a perfúziós CT-hez kissé hasonlóan – dinamikus sorozatfelvételt jelent, vagyis ugyanazon rétegekben a kontrasztanyag beadása közben egymás után több sorozat is készül. A vizsgálathoz szorosan hozzá tartozik a több irányú rekonstrukciós sorozat, ami az agyalapi mirigyet a nyelével együtt ábrázolja. A módszer az agyalapi mirigy daganatai (hypophysis adenomák) kimutatására, kezelés utáni követésére szolgál.
f) A belső fül kontrasztanyagos CT-vizsgálata
Kizárólag akkor végzendő el, ha az MR nem jöhet szóba. Elsősorban daganatos betegségek gyanúja esetén alkalmazzák. Az értékeléshez vékony szeletek és több irányú rekonstrukciós sorozatok szükségesek.
Az arckoponya (szájüreg, orr, orrmelléküregek, szemüreg) kontrasztanyagos CT-vizsgálata
A csontos képletek részletes, nagy felbontású ábrázolására a CT a legalkalmasabb képalkotó vizsgálat, amihez kontrasztanyag adása sem szükséges.
Lágyrészeket érintő betegségek esetén kontrasztanyag beadására súlyos gyulladásos folyamatokban, pl. tályogok gyanújakor, vagy daganatok agresszivitásának, kiterjedésének megállapítása érdekében kerülhet sor. Ezekben az állapotokban szintén az MR-vizsgálatnak magasabb az értéke, de ahogy korábban is írtuk, lehetnek olyan esetek, amikor csak CT végezhető.
Mindezen vizsgálatok fontos kiegészítése a szeletekből a több irányú rekonstrukció, amely más síkokban ábrázolja a régiót és segít pl. a koponyaalappal, szemüreg falaival való összefüggések tisztázásában.
Általános tudnivalók
A kontrasztanyagos CT-vizsgálatokkal kapcsolatos általános tudnivalókat ide kattintva egy korábbi cikkünkben részletesen olvashatja.
Röviden összefoglalva: a vizsgálat előtt 4-6 órás éhgyomor ajánlatos, de vizet lehet inni; előzetesen vesefunkciót tartalmazó laborvizsgálat szükséges; cukorbetegek metformin tartalmú gyógyszereit a vizsgálat előtt és után 2-2 nappal fel kell függeszteni.
A CT-ben adott kontrasztanyag molekulához kötött jódot tartalmaz, beadása általában erre kialakított befecskendező berendezés (injektor) segítségével történik.
Ellenjavallatai közé tartozik a súlyos veseelégtelenség, jódos kontrasztanyagokra való ismert túlérzékenység (allergia) – ilyenkor csak nagyon indokolt esetben, speciális óvintézkedések mellett, egy másik molekulaszerkezetű kontrasztanyaggal lehet elvégezni.
Nem végezhető el kezeletlen pajzsmirigy-túlműködés esetén sem.
A terhesség relatív ellenjavallatot képez, de nagyon indokolt esetben, a várandós anya életének veszélyeztetése esetén elvégezhető.
A szoptatás nem jelent ellenjavallatot, a csecsemő egészségére nincs hatással, de a szoptatás 24 órás kihagyása is elfogadható.
A vizsgálat után kb. 20-30 perc várakozás javasolt a CT-vizsgáló közelében, az esetleges kontrasztanyag-reakció felismerése és azonnali ellátása miatt.
A vizsgálatot követően, aznap sok folyadék fogyasztása javasolt.
Forrás: WEBBeteg
Orvos szerzőnk: Dr. Laki András, radiológus